본문 바로가기 주메뉴 바로가기

우리산부인과 소개

산모와 아기를 소중히 생각하는
우리산부인과 입니다.

산과

산모와 아기를 소중히 생각하는
우리산부인과 입니다.

부인과

산모와 아기를 소중히 생각하는
우리산부인과 입니다.

이용안내

산모와 아기를 소중히 생각하는
우리산부인과 입니다.

검진 및 예방접종

산모와 아기를 소중히 생각하는
우리산부인과 입니다.

커뮤니티

산모와 아기를 소중히 생각하는
우리산부인과 입니다.

임신 주수별 검사

산모와 아기의 건강한 출산은 임신 주수에 맞춘 정기 검진에서 시작됩니다
산모 정기검사
산전 진찰주기
임신 주수 진찰 주기
임신 4주 ~ 27주 4주 마다
임신 28주 ~ 35주 2주 마다
임신 36주 ~ 출산 매주
산전 정기검사
임신 주수 검사 항목
10주 전 ▶ 질 초음파 4
▶ 임신 초기 기본 혈액 및 소변검사(혈액형, 빈혈, 간기능, 간염A, 간염B, 매독, 에이즈검사)
▶ 풍진검사
▶ 갑상선기능검사 1
▶ 비타민D 검사 1
▶ 자궁경부암 검사 2

* Option
→ 취약X 증후군 검사(산전 정신지체 선별검사) 3
→ 톡소플라즈마검사 3
11-14주 ▶ 복부 초음파 4

→ 인테그레이티드 1차 검사 3

* Option
→ NIPT 검사 (비침습적 산전 검사) 3
15-19주 ▶ 복부 초음파

→ 인테그레이티드 2차 검사 3 or 쿼드 검사 (양수검사 : 양수검사 적응 산모) 3
→ 정밀초음파 검사 4
20-24주 ▶ 복부 초음파

* Option
→ 입체초음파 검사 4
25-28주 ▶ 복부 초음파
→ 임신성 당뇨검사
→ 비타민D 검사 1
→ 임신 중기 빈혈검사
29-32주 ▶ 복부 초음파
33-35주 ▶ 복부 초음파
→ 임신 말기 혈액검사 (제왕절개예정 : 수술 전 검사)
(빈혈, 간염 C 검사, 불완전 항체 검사, 간기능 검사)
→ 태동검사 5
36-출산 ▶ 복부 초음파
→ 태동검사 5
기형아 선별 검사
취약× 증후군 검사
취약× 증후군은 정신지체의 원인 중 다운증후군 다음으로 흔한 원인입니다. 산모가 보인자인 경우, 태아에게 40% 유전되므로, 산모가 보인자를 갖고 있는지 여부를 확인하는 검사입니다.
톡소플라스마 검사
톡소플라스마라는 원충류에 속하는 기생충의 감염 사실의 파악을 위해 고양이를 키우거나 도둑고양이의 배설물이 있는 공원의 모래 등을 접하는 임신 전 여성과임산부는 해당 검사를 받아야 합니다.
인테그레이티드 검사
산모의 혈액과 태아 초음파를 이용하여 모든 산모에서 실시하는 다운증후군 선별검진 검사이며, 에드워드증후군과 신경관결손증도 발견이 가능한 검사입니다.
NIPT (비침습적 산전검사)
산모의 혈액내에 존재하는 태아 DNA를 산모의 혈액에서 분리하여 차세대 염기서열 분석방법을 이용하여 태아 염색체이상을 선별하는 검사입니다. 양수검사와 달리 산모의 혈액으로 검사하기 때문에 산모와 태아에게 위험이 없습니다.
양수검사
주사 바늘로 양수를 채취하여 양수내에 있는 태아 세포를 분리한 후 세포 배양을 통해 태아 염색체를 분석하여 태아 염색체 이상을 확진하는 방법입니다.
초음파 검사
산전초음파 검사
산전 진찰시마다 시행하는 기본초음파검사로 태아 생존 유무, 크기, 위치, 양수 양, 태반위치 등 태아성장 유무를 확인하는 것입니다.
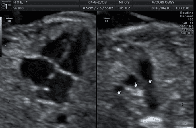
태아 후경부투명대(NT)검사
태아의 기형을 진단하는 기본 초음파검사이며 예약이 필요합니다. 임신 11-13주 사이에 태아의 후경부투명대 두께를 측정하여 태아의 기형아 위험도, ‘다운증후군’ 및 심장기형 등을 알아내는 검사입니다.
정밀초음파검사
태아의 기형을 진단하는 기본 초음파 검사이며 예약이 필요합니다. 임신 18-23주 사이에 태아의 장기를 세밀히 관찰하여 태아의 기형 유무를 확인하여, 출산 시 심한 기형으로 위급한 상황을 초래할 수 있는 태아(2-3%)를 진단하는 것이 목적입니다.
4D 입체영상초음파
입체영상초음파는 선택검사이며, 예약이 필요합니다. 태아의 얼굴, 손, 발, 척추 등이 가장 잘 보이는 임신 23-28주 사이에 실시하여 실물과 유사한 사진을 얻어 미리 아가를 만나볼 수 있는 검사입니다. 우리산부인과는 보다 감각 있는 사진을 위하여 초음파 "GE HD live "을 사용하고 있습니다.
NIPT (비침습적 산전검사)
산모의 혈액내에 존재하는 태아 DNA를 산모의 혈액에서 분리하여 차세대 염기서열 분석방법을 이용하여 태아 염색체이상을 선별하는 검사입니다. 양수검사와 달리 산모의 혈액으로 검사하기 때문에 산모와 태아에게 위험이 없습니다.
양수검사
주사 바늘로 양수를 채취하여 양수내에 있는 태아 세포를 분리한 후 세포 배양을 통해 태아 염색체를 분석하여 태아 염색체 이상을 확진하는 방법입니다.